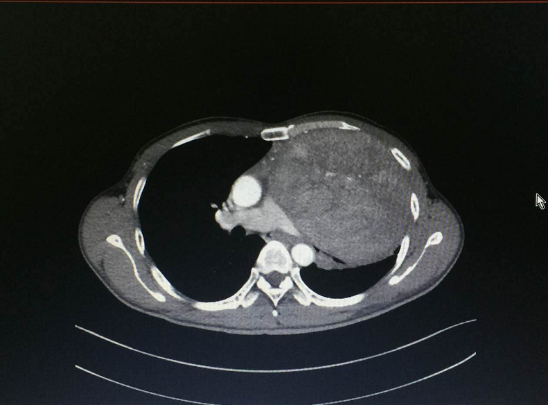
家住惠州的叶先生怎么也不会想到,自己的胸腔内竟然会长出一个足球般大小的肿瘤。14日,记者从深圳的香港大学深圳医院(以下简称"港大深圳医院")获悉,该院医生成功切除了叶先生胸腔内直径长达22厘米的巨大胸腺类癌。据悉,这是一种罕见的肿瘤,国内现有的医学文献报道也仅有数十例。而像直径22厘米这样巨大的胸腺类癌,目前国内尚未见文献报道。
咳嗽胸闷原来是肿瘤导致
叶先生今年38岁,2016年底他开始出现咳嗽胸闷。一开始叶先生并没有把这些不适症状当回事,却没料到症状越来越重。2017年春节过后,在家人的强烈要求下,叶先生才去了当地医院就诊。医生拍片发现,叶先生的胸腔里竟然长了一个足球般大小的肿瘤。而这个肿瘤正是导致他咳嗽胸闷的原因。

在广州一家大医院,叶先生接受了穿刺活检,病理结果提示为胸腺类癌。医生告诉叶先生,这种类型的肿瘤十分罕见,根据已有的医学文献报道,这种肿瘤对放疗和化疗都不太敏感,治疗效果只能看运气。"当时感觉天都要塌下来了。"回忆起听到这个结论时的心情,叶先生仍不敢想象。
抱着试试看的心态,2017年5月初,叶先生来到港大深圳医院就诊。咋一看如此巨大的肿瘤,接诊的胸外科顾问医生庞大志同样眉头紧锁,把叶先生的胸部CT片来来回回看了一遍又一遍。庞医生告诉叶先生,这个肿瘤巨大,血供丰富,肿瘤表面有许多粗大的异生血管,与肺动脉、肺静脉、支气管等重要器官紧密相邻,心包也可能被侵犯。尽管看上去困难重重,但庞大志医生最后还是很肯定的告诉叶先生,手术治疗的机会仍然存在,可以争取完整切除肿瘤。

为了确保手术安全,港大深圳医院组织了胸外科、肿瘤科、医学影像科及病理科的医务人员进行了多学科会诊,并达成了一致意见:先为叶先生进行两个疗程的化疗,再复查;如果肿瘤在化疗后仍然无法缩小,便果断进行手术治疗。
两个疗程的化疗结束后, CT复查的结果令人沮丧:叶先生胸腔内肿瘤没有减小,肿瘤的密度还有所增高。这意味着,只剩下手术这个治疗方案了。
4个小时"奋战"切除肿瘤

组反复研究病情,多次进行讨论,希望能找岀最佳的手术方案。医院麻醉科顾问医生许学兵带领麻醉小组也制定了周全的麻醉方案,以确保手术安全。
8月2日,叶先生的手术如期开展。医生打开病人的胸腔后发现,正如术前预料的那样:肿瘤表面布满了粗大的异生血管。这是一种异常的血管组织,没有正常的管壁结构,薄如蝉翼,稍一触碰就会血流不止,常规的止血方法很难凑效。这种情况让手术过程充满了巨大的风险,患者极有可能在手术台上因无法止血导致大出血死亡。
另一方面,因为病人的肿瘤巨大,几乎占满了整个胸腔,留给医生的手术操作空间十分有限,这台手术无疑将十分艰难。经过短暂的试探,手术组发现只有快速移除肿瘤,才可能安全止血。

凭借长期完成复杂纵隔手术中所积累的丰富经验,手术组攻克了一个又一个难题,谨慎而坚定地向前推进:手术组先后将紧紧粘在肿瘤上的左主支气管、肺动脉、肺静脉等重要器官安全游离开来,又切除了部分受侵犯的心包。经过4个多小时的"奋战",终于将叶先生胸腔内的肿瘤完全切除。
手术后经过在重症监护室(ICU)的短暂恢复,叶先生身命体征平稳,转入普通病房。近日,他已顺利康复出院。
【通讯员】彭蓓;罗裕菲
