
“医生,我儿子耳朵在出血,你快看看吧!”一名家长抱着孩子到粤北人民医院耳鼻喉科急诊,紧张而恳切地向医务人员求助。他怀中的孩子死死地捂着自己的耳朵,疼得又哭又闹。
经了解,这位年仅7岁小朋友因贪玩把小石子塞进了右耳朵,家属在家中试图自行取出,不料反倒将石头推入了耳道深部,并伴渗血。家属急忙带患儿到外院就诊,在全麻下试行耳内镜下右外耳道异物取出术,未能取出。患儿麻醉清醒后患耳有出血,明显耳痛,不让碰触。家属急抱患儿来粤北人民医院耳鼻喉科求治,耳鼻喉科主任黄若葵、住院医师王诗铭闻讯赶来,现场为患儿进行紧急处理。

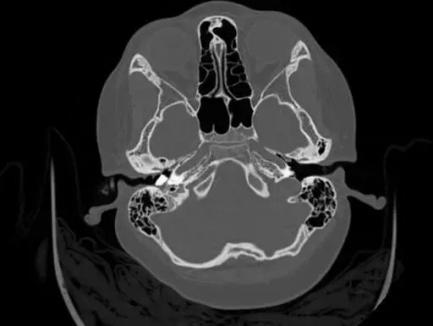
入院后检查右侧外耳道,但因患儿较小,右耳痛明显,不让碰触其右耳,不能明确异物情况。并且患儿入院后4小时突发眩晕,伴反复恶心、多次呕吐,后呕出液伴少量血丝,考虑前庭(主要维持人体平衡)功能损害。急诊CT检查提示右侧外耳道有一大小约6.6mm×4.3mm的异物,已进入鼓室腔。

由于患者病情危重,存在内耳感染致全聋的可能,需尽早手术取出异物,以免发生严重并发症。主管医生张金平汇报后,黄若葵立即组织全科讨论,对该手术的风险及难度进行讨论,拟定手术方案,制定各项术中应急预案。
第二天,耳鼻喉科团队为患儿行急诊手术。在行气管插管全麻后,由副主任医师张金平在旁指导、主治医师谢记发主刀下,通过耳内镜下观察,见外耳道深部一不规则石头,已进入鼓室腔,完全阻塞鼓室内结构,外耳道黏膜部分缺损,外耳道骨质裸露,碰触石头,见缝隙处有少量脓液溢出。


耳内镜下初步对异物情况进行判断,不可能直接取出。遂启动第二方案,微创行耳内切口,扩大术腔,磨除外耳道骨质,扩大外耳道。因石头棱角较多,主刀医生边松动石头边磨除棱角处骨质,小心旋转角度,向外用力终于取出约6.6mm×4.3mm的异物。




术后患儿安全返回病房,予以加强抗炎治疗,患儿无右耳痛、出血,眩晕逐渐减轻。待鼓室及外耳道黏膜恢复正常,再择日行鼓膜修补或同期行人工听骨听力重建术。病情稳定后,患儿于术后第4天出院。
科普时间
什么是外耳道异物?

外耳道异物是:体积较小的物体或虫类等进入外耳道。通常分为植物性异物、动物性异物和非生物性异物三种。是耳鼻喉科的常见疾病。
植物性异物:米粒、豆类、种子,瓜子等。
动物性异物:蚂蚁,飞虫、蟑螂等。
非生物性异物:纸巾、棉球、火柴棒、玻璃珠、纽扣、砂石、铁屑等。

如何预防外耳道异物?

1.健康宣教
健康宣教,保护耳朵。家长及老师要经常教育小孩不要将细小物体放入耳朵,如不慎出现塞异物进耳朵,需及时告知家长及老师。发现异物入耳后,应及时到医院由耳鼻喉科医生取出,不可用耳勺等尖锐物品掏挖,以免刺伤鼓膜,异物越陷越深。
2.改善不良习惯
避免小孩经常挖耳不良反应习惯。以免棉签,火柴棒等异物遗留;经常挖耳,刺激外耳道皮肤里的耵聍腺分泌过多耵聍,引起耵聍栓塞及外耳道炎,这也容易诱发耳道异物。
3.定期检查
关注小孩听力变化情况,定期检查耳朵。野外露营时加强防护,以免昆虫误入外耳道。
【来源】粤北人民医院

