作为家庭的顶梁柱,却患上了骨肿瘤,肿瘤将骨头侵蚀得所剩无几,导致不能下地行走,怎么办?若治疗,需要高昂的医疗费;若放弃,生活不能自理需被照顾一辈子。年仅42岁的贫困骨肿瘤患者何先生面临着人生最艰难的选择。
医生考虑到他的情况,为他精心量身制定了手术方案,最终仅花了2.5万元,他就康复出院了。
一跤跌倒后,他查出骨肿瘤
从今年过年时候起,家住广州从化区良口镇的何先生就感觉到左膝酸软、疼痛。他一直以为是风湿关节炎,治疗了一阵子后始终未见好转。4月19日,何先生突然腿一软,跌倒了。倒下后他就无法走路,救护车把他送到了就近的医院救治。
经过一系列检查和病理活检,医生认为他左侧股骨外髁可能长了骨巨细胞瘤,同时出现了病理性骨折,建议他做手术,换成人工关节——“人工肿瘤铰链膝关节”。 然而人工关节费用价格不菲,整个治疗费用将近10万元,家庭经济困难的何先生犹豫不决。
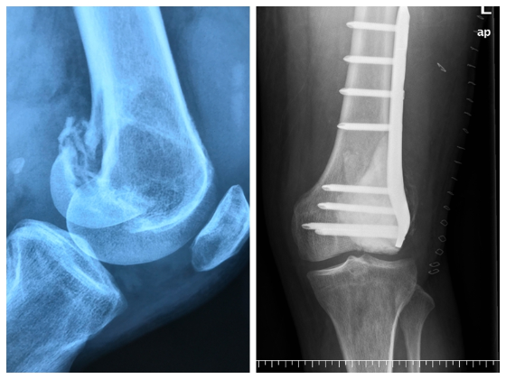
经朋友介绍,何先生找到了南方医科大学第五附属医院关节外科主任潘乘龙。检查显示,何先生的外髁骨已经是粉碎骨折,骨折移位明显,骨量被肿瘤侵蚀得所剩无几。
潘乘龙考虑到,何先生才42岁,是家里的顶梁柱,而置换人工膝关节使用寿命平均在10年左右,人工膝关节损坏后需要再次更换假体,会增加手术难度及风险,且费用高昂。
综合患者的病情、年龄、经济条件,潘乘龙最后决定,可以为何先生做保膝手术,在患者残余的骨头上进行“修补加固填充”,这样就不必置换整个人工关节,能大大节省费用。

仅花了2.5万他就可以重新走路了
5月15日,手术正式进行,潘乘龙主刀。在手术中,医生们看到,何先生的左股骨外髁内布满了肿瘤组织,当即取出部分肿瘤组织制成冰冻切片送病理科检查。十几分钟后,报告结果出来,何先生的骨巨细胞瘤是良性的!
“这个消息让我们顿时松了一口气。”潘乘龙说。手术继续进行。潘乘龙观察到,何先生的膝关节仅剩下了骨皮质及软骨层,骨头如薄片,十分脆弱,怪不得无法支撑他正常行走。
经全方位反复刮除及灭活肿瘤组织后,潘乘龙小心翼翼地将骨折端复位,并取下患者自身的骨组织填充。当关节面、骨折端复位好后,再拧入钢板螺钉,最后注入骨水泥填充骨缺损处,手术顺利完成。
术后第二天,何先生即可拄拐下地负重步行。经过农村合作医疗报销后,他自己只需支付2.5万元左右。术后复查发现,他的骨折复位良好,关节面平整。半个月后,他就可以出院回家疗养了!
【记者】李秀婷
【通讯员】徐智君 朱惠峰
【校对】吴荆子

