自今年7月1日起,中山积水潭骨科医院启动“骨科爱心行”公益手术项目。该医院作为定点医疗机构,将为中山困难家庭骨科疾病患者和粤港澳大湾区疑难骨科疾病患者提供200例公益手术服务。8月24日,该院完成了第一台“骨科爱心行”中山地区公益手术。
第一台“骨科爱心行”中山地区公益手术。
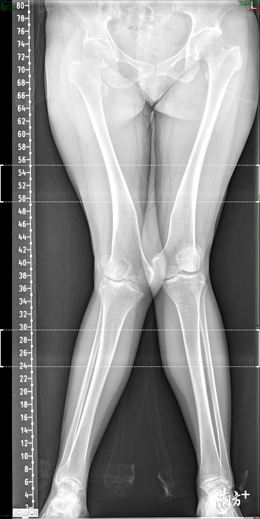
据中山积水潭骨科医院透露,自7月1日,“骨科爱心行”公益手术开幕以来,医院接收到了数名患者报名。而开展第一台“骨科爱心行”中山地区公益手术的患者——冯女士是中山人,患有后天性膝外翻,就是我们通常所说的“X”形腿,虽然才30多岁,但已忍受病痛20余年。

后天性膝外翻,就是我们通常所说的“X”形腿。
20多年来,冯女士双膝关节外翻逐渐加重,现在两个脚之间距离已经快达到30cm,不仅步态不正常,走多了腿就累就疼,严重影响日常生活,很是困扰。为了治疗,冯女士花光了大部分的积蓄,去到各个地区寻访医生,但因为面临手术的难度较大、医疗费用昂贵的压力,冯女士二十多年来一直强忍病痛,无力去医院诊治。
此次,冯女士得知,中山积水潭骨科医院启动“骨科爱心行”公益手术项目,而参与公益手术项目的医生均是北京积水潭医院的骨科专家。于是,冯女士果断地报名进行手术治疗。经过政府资质审查及专家们评估,她通过了评审并入院、完善术前检查等一系列的评估之后,于昨日进行手术。
手术从上午九点到下午两点,持续了6个小时,此次手术由中山积水潭医院执行院长姜旭及院内骨科团队参与,采取的截骨矫形钢板内固定术式,从截骨位置、截骨角度等经过周密的术前设计,术中顺利在畸形最大位置进行截骨,矫正位置后,钢板固定,成功矫正了冯女士右下肢外翻畸形。
手术结束后,冯女士表示,对手术效果满意,看到自己弯曲的腿变直了很开心,等右下肢恢复好后,再做左下肢的手术。
据了解,该项目由中山市红十字会及财政部门资助,中山市卫生健康局、医保局、民政局等政府部门共同协助推进。
“这是一个实在的惠民项目。我们针对患有骨科重疾的中山困难人群,开放了100个名额。他们在本院开展疑难骨科手术,医保报销及大病救助(符合条件)之后,剩下部分由中山市红十字会承担。”中山积水潭骨科医院副院长郑永均透露,“此外,该项目面对粤港澳大湾区的其他城市患者,也开放了100个名额。他们在本院开展骨科手术,在大病医疗补助后,剩下自费部分可获50%的补贴,补贴金额不超过4万元。”
【南方日报记者】曾艳春
【通讯员】赵文洁

