今年26岁的叶小姐
两个月前发现自己离奇血压飙升
于是先后辗转几家医院看病
但血压一直难以降下来
还一度出现生命垂危的状况

女子血压离奇飙升,肾上腺肿瘤作怪
今年4月,叶小姐在毫无诱因的情况下,突然出现头晕、心悸、头疼、呕吐等症状,血压居高不下,于是家人把她送到市区一家医院进行治疗,但情况并没有得到好转,一度出现昏迷症状,甚至还住进了重症监护室,生命垂危。情急之下,叶小姐被转到市中心医院诊疗。
“现在还记得,入院的时候,我体重只有70斤,还出现重度贫血、肝肾功能不全、高血压影响视网膜导致视物模糊等并发症,身体非常虚弱。”
当时她的血压一度飙升到220mmHg/120mmHg,医院立即进行紧急抢救,连续使用多种强力降压药后,她的血压才稍微稳定下来。
“女儿这么年轻,怎么会患上严重的高血压?还一直治不好?”
叶小姐的母亲百思不得其解。叶小姐的特殊情况,引起了市中心医院泌尿科曹嘉正博士的重视。
“在诊疗的过程中,我了解到了一些情况,就是这名患者平时会出现头疼、头晕的症状,但一直没有重视,也没有测血压,只是这次头疼、头晕明显且呕吐,才到医院就诊。日积月累,叶小姐出现高血压症状,这其实只是表象,她的身体内部可能已经发生一些变化。”
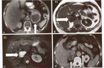
于是,曹嘉正马上安排患者进行CT检查。果不其然,检查结果显示,叶小姐右则肾上腺长了肿瘤,直径大小约6cm,跟网球差不多大。
这个网球大小的肿瘤为何会
影响到叶小姐的血压呢?
曹嘉正介绍,这个肿瘤为肾上腺嗜铬细胞瘤。肾上腺长在肾脏上方,其分泌的儿茶酚胺类激素能起到调节人体血压等重要作用。

如果肾上腺长了嗜铬细胞瘤,儿茶酚胺类激素分泌过多,会使正常人的血压飙升,病人会出现阵发性高血压或持续性高血压,这就是为何叶小姐的血压会离奇飙升的原因所在。嗜铬细胞瘤不只会生长在肾上腺,只要交感神经存在的地方,它都有可能冒出来,有时位置还会跑偏。
手术难度很大,医生成功切除肿瘤
曹嘉正介绍道,在麻醉及手术操作的刺激下,嗜铬细胞瘤容易引起大量儿茶酚胺分泌,从而极易导致患者出现高血压危象、心脑血管意外、急性心力衰竭、甚至心律失常等凶险并发症。同时,患者肿瘤过大,分支血管丰富,手术过程中有可能出现渗血较多的情况,影响手术视野的清晰度,术中血压叶可能波动较大,这无疑给手术医师及麻醉医师都带来了很大的挑战。

为此,在手术之前,市中心医院泌尿外科对患者进行全科疑难病例讨论,并邀请麻醉科主任参与,最终制定了使用腹腔镜经腹腔入路的手术方案,一旦术中损伤大血管,可中途转开放手术修补血管,同时术前大量备血。
手术方案确定后,医生就着手进行术前的准备工作。5月24日早上9:40,手术准时开始。据当时在现场的医务人员介绍,得益于手术前充分的血管扩容。患者在手术过程中的血压波动比想象中的小得多,基本保持稳定,为手术的顺利进行创造了良好的条件。尽管如此,在场的所有医护人员依然不敢放松警惕。为了最大限度地减少对肿瘤的挤压,减少儿茶酚胺的分泌。经过近3个小时的手术,叶小姐的嗜铬细胞瘤成功被切除,患者顺利渡过了险关。
手术后,叶小姐被送到泌尿外科普通病房,医务人员并对叶小姐身体进行了监测。
上周五,叶小姐回市中心医院泌尿科复诊,她高兴地告诉记者,现在的血压已经恢复正常了,再也不用吃高血压药了。
近年来
嗜铬细胞瘤在高血压和肿瘤患者中
的发病率有升高的趋势
医生提醒
有以下几类高血压特征的患者
要及时到医院做进一步检查
▼
1、儿童、青少年及年轻人出现高血压;
2、伴有头疼、心悸、大汗的高血压;
3、初发高血压或病程短、但血压显著升高的高血压;
4、血压波动范围大,甚至出现低血压休克、持续性高血压伴严重阵发性加重的高血压;
5、高血压病程较短,但病情进展迅速,其心、胸、肾脏功能受损,服用普通降压药无明显疗效,并呈现反常升高的持续性高血压;
6、在排尿过程中发生不明原因的心悸、心慌甚至晕厥的高血压;
7、在术后、创伤、分娩、情绪激动时血压骤然升高、休克,但又无法解释的高血压。
保持健康
定期体检很重要
及早发现异常情况比手术更有效
然而完成检查
拿到报告却一头雾水?
小编教你如何看懂指标背后的健康信号↓↓









来源:江门日报 记者 陆沿任、人民日报 责任编辑:张宽

