两周前,湖南小伙王明(化名)在和朋友打赌时,不慎将一枚长达8公分的生锈铁钉吞了下去,铁钉被呛入气管。随后,他剧烈地干咳、胸痛、呼吸气促。在当地多家医院就诊后,铁钉都无法取出,很多医生都建议手术开胸取钉。在辗转多地求医两个星期后,最终他赴广州求医,铁钉在南方医院呼吸与重症医学中心通过气管镜无创取出,取钉仅花了1分钟。

医生准备了三套取钉方案
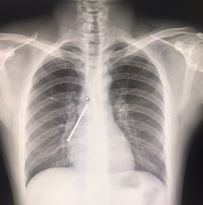
6月28日下午,王明在姐姐的陪同下,来到南方医院呼吸与危重症医学科求救。接诊的主任医师佟万成看到王明的胸片后,意识到情况非常危险,立马安排患者迅速完成必要的术前检查,并联系呼吸内镜中心为患者开通绿色通道。
经过该科室主任蔡绍曦和两个主任医师佟万成、刘来昱的研究,发现患者右下肺异常高密度铁钉样阴影较前并没有明显的变化,担心铁钉已经扎透气管壁,于是讨论制定了三套治疗预案,如有意外随时做好急诊开胸手术的准备。
经过一系列准备后,刘来昱为王明实施了经气管镜异物取出术。 刘来昱介绍,当气管镜轻柔进入后,他在镜下仔细观察了铁钉的情况。很幸运!8公分长的铁钉,在患者的气管中“滞留”了2个星期,并未穿透支气管管壁。
刘来昱立即启动了第二套预案,使用圈套器将铁钉牢牢套住后,轻轻地缓慢拖出体外。这样可以避免钉子出声门时反复碰撞而再次脱落。
从气管镜进入声门到取出铁钉,仅花1分钟时间。手术过程顺利,没有发生出血、窒息、气管穿孔断裂等并发症,迅速为病患解除了痛苦,避免了开胸手术的巨大创伤。

异物误入气管应立即就诊不要耽误病情
蔡绍曦介绍,气管异物为呼吸科常见急症,这种情况多见于老年人、小孩和意识不清者,严重者可导致窒息,危及生命。异物种类以骨头、花生米为最多,很多病人还被误诊多年。
“1分钟内取出8公分铁钉体现了我们南方医院精湛的呼吸内镜介入技术。”蔡绍曦指出,近年来南方医院呼吸与危重症医学科还取出过刀片、滚珠、针头、瓶盖、圆珠笔帽等各种奇奇怪怪的气管异物。
另外,蔡绍曦还提醒喜欢寻求刺激或“爱凑热闹”的年轻人,要珍惜生命,不要逞一时之快而后悔终生,如果出现异物误入气管应立即就诊,不要耽误病情。
【记者】李秀婷
【通讯员】李晓姗
【校对】吴荆子

