深圳市宝安区妇幼保健院儿科PICU抢救了一名3岁男孩,从气管内取出树枝状异物,救了孩子一命。据了解,这是目前为止该院收治的最重的一例重型流感合并重症肺炎、支气管内生性异物(塑型性支气管炎)、呼吸衰竭的孩子。

两天前,3岁的小豪(化名,同下)出现发热、流涕、咳嗽,父母发现孩子呼吸费力、精神差,急忙带孩子到当地医院就治,医院考虑“重症肺炎、急性呼吸衰竭”,治疗后病情不能缓解,该院马上联系宝安区妇幼保健院救护车出诊。2月9日11:10 ,小豪转诊到宝安区妇幼保健院重症监护病房(PICU)。
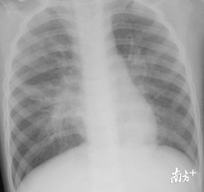
入院时孩子在呼吸机辅助通气下仍喘憋、呼吸困难,气管导管内吸出粘稠浓痰,血气提示二氧化碳潴留,给予加强雾化、翻身、拍背、吸痰处理,效果不理想,孩子呼吸机参数进行性增高,二氧化碳潴留进行性加重(>100mmHg),双肺呼吸音明显减低,潮气量低,呼吸机送不进气,呼吸困难不能缓解。

儿科刘纯义主任和PICU金萍主任查看孩子后考虑“塑型性支气管炎”可能性大,必须马上进行电子支气管镜检查。在家休息的许锦姬副主任医师(PICU支气管镜技术最好)被召回,李素明副主任护师、林凤琼主管护师、住院总陈娟医师配合下,立即为小豪进行局麻下电子支气管镜检查。
镜子下可见小豪右肺右上叶、中叶、下叶各段支气管管腔内多量黄白色胶冻物堵塞,左肺左主支气管已被胶冻物完全堵塞气道。

据了解,双侧急性型塑型性支气管炎目前也被国内认为是最困难、最凶险的病种之一。塑形性支气管炎是一种临床上较罕见,因其内生性支气管树样管型堵塞支气管,引起局部或广泛性支气管堵塞,导致肺部分或全部通气功能障碍,发病急骤,诊断和治疗难度大,死亡率高,近50%。
许医师耐心、细致的进行反复灌洗、吸引,毛刷、钳夹等多种技术手段相结合,一条条树枝状的内生异物被逐一从右肺吸出,左肺主支气管仍堵塞,支气管镜不能通过。时间在不知不觉中流逝,窗外天色已深,孩子一侧肺部通畅,呼吸机参数有所下降,二氧化碳潴留有所改善。

孩子左肺仍堵塞不通,值班的医护继续呼吸机通气,间歇以少量生理盐水行气道冲洗,胸部电动按摩振荡拍背、结合体位引流吸痰等。12小时后行第2次电子支气管镜,许医师娴熟的将4.0mm和2.8mm镜交替使用,瞄准堵塞物采用大负压吸引,结合毛刷、钳夹等,钳夹时轻轻将钳深入约1cm左右,力量太大易将异物夹断,太小易使异物滑脱,如同绣花,更象踩钢丝,一点一点解除堵塞。约2小时后,左肺气道慢慢通畅了,呼吸机参数下降了,二氧化碳分压正常了,孩子呼吸平顺了。
从支气管取出的异物呈条索状,柔软,黏性强,放人生理盐水中舒展开,与支气管树形状完全一致。
【撰文】穆玉洁
【通讯员】郑虹

