
“
你若性命相托,我定全力以赴。
”
这不仅是医生对患者的承诺
更是每个医生心中最崇高的信仰
每挽救一个生命的背后
总有一群天使在全力以赴
就算死神的镰刀已经滑到了你的喉咙
我们也奋力一搏,拼了命把你抢回来!
▽
惨!深圳男子被电锯割喉,3天3夜用“神器”为他续命!
连续奋战40多天,用上了最顶级的生命支持
只为挽回妈妈的这口气!
▽
二胎妈妈差点没了命!产检发现这个指标异常要警惕!
每一个病情的微小变化,都密切关注
每一次高难度手术,都精心准备
▽
刚生下双胞胎,妈妈心脏竟也长出了“双胞胎”!猝死随时发生……
全力抢救的背后,还有医护人员的浓情关怀
▽
“我没钱,不治了!”30岁男子突发主动脉夹层,医生这样做
这些仿佛还在昨天,就在眼前
我们只是想努力一下,再努力一下
全力奔跑,直至点燃那盏叫做“希望”的灯
.......
画面切播中
时间:2018年12月6日09:40
坐标:深圳市人民医院
事件:深圳市人民医院首例小切口体外循环下全主动脉弓置换手术成功
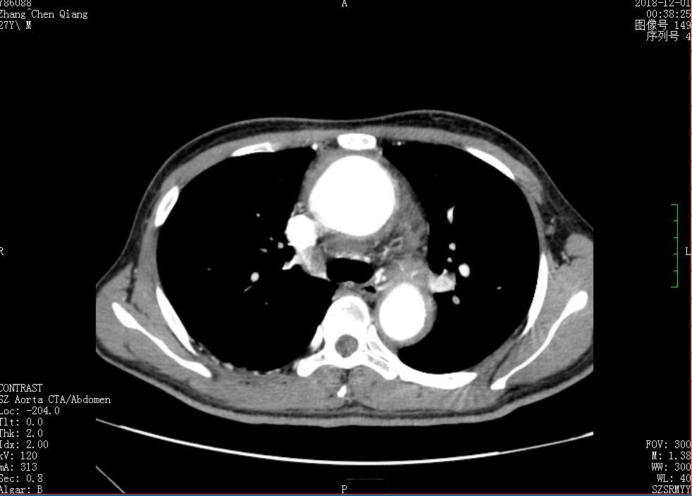
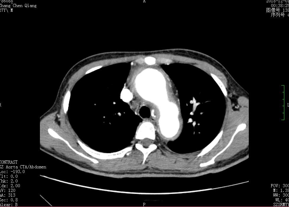
27岁的张先生(化名)胸背部疼痛一个多月了,本以为只是简单的疼痛,没想到越来越严重,还伴有咯血。
仅在深圳市人民医院完善术前常规检查期间,张先生就咯血300ml左右。
经检查,发现张先生是降主动脉穿透性溃疡!这是一种潜在风险大的疾病,大的溃疡可能迅速发展成为夹层、大动脉破裂,出现失血性休克、重要脏器缺血等危重情况。


完善术前准备后,2018年12月6日9:40,深圳市人民医院心外科主任郑齐军团队为张先生实施了插管麻醉下行升主动脉替换+全主动脉弓置换术+降主动脉覆膜支架置入术。
本次手术首次采用胸骨上段小切口,长约15cm。小切口对于患者来说损伤小,术后恢复快,但对术者来说要求却非常高。


在如此小的视野中要完成头臂干、左颈总动脉及左锁骨下动脉的游离;并要完成主动脉根部、远端及三大分支的人工血管和自身血管的端端吻合,实现全主动脉弓人工血管置换。术中脑灌注是最关键的问题,直接关系到病人的预后。因此,就要求术者在极小的手术视野中,花费和常规切口同样的时间内完成手术操作,难度极大。
在计时器的滴答声中,心外科手术团队争分夺秒,短时间内顺利完成了深圳市人民医院首例小切口下全主动脉弓置换术。整个手术过程顺利,张先生安返病房,未再出现咯血。
时间:2018年12月8日07:58
坐标:深圳市人民医院
事件:深圳市人民医院首例肺动脉肿瘤摘除术+肺动脉内膜剥脱手术成功
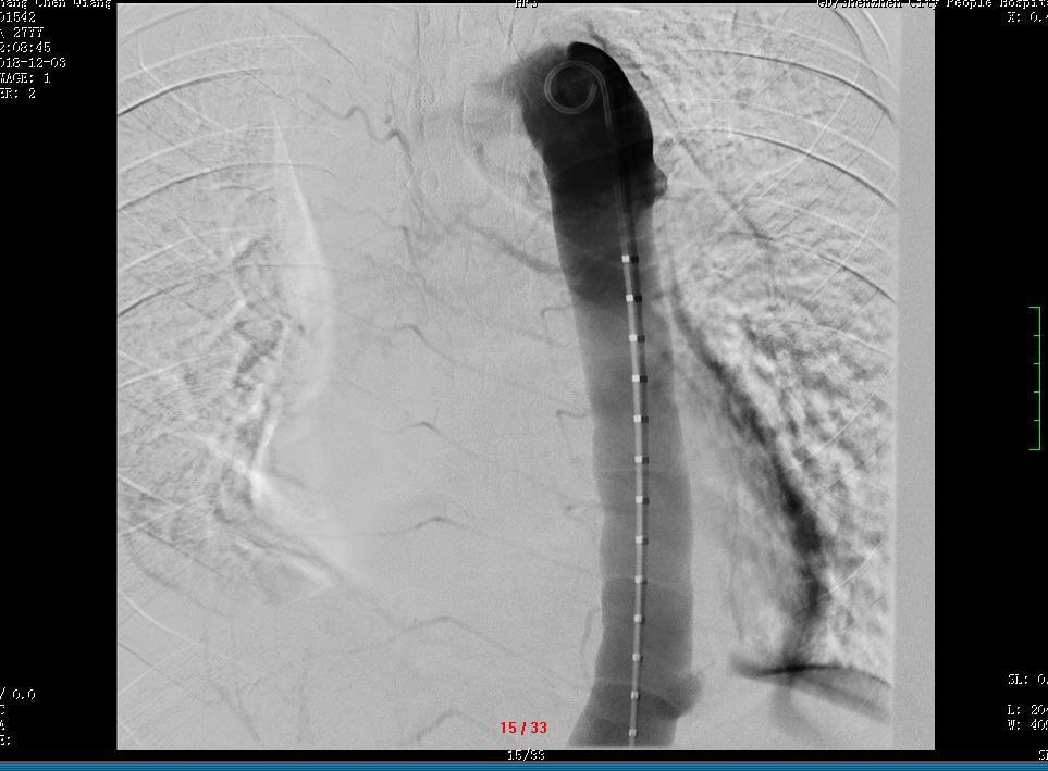
2018年9月,51岁的陈女士(化名)无明显诱因出现咳嗽伴左侧胸痛,在当地医院就诊,被当诊断为为肺栓塞。
当地医院为陈女士行肺动脉造影术+肺动脉溶栓术,当时造影显示左陈女士右肺动脉主干见大量血栓,左肺动脉主干血栓几乎填满管腔!

然而,陈女士在外院经过多次介入下局部溶栓、抽栓治疗,效果却依然不理想。为了进一步治疗,陈女士转到了深圳市人民医院呼吸内科。
此时,陈女士已呼吸衰竭,重度肺动脉高压,随时面临猝死的危险。考虑到陈女士的病情,呼吸内科及时组织两次全院会诊,并联系多学科团队联合救治。
心外科郑奇军主任医师根据患者病史、辅助检查及诊疗经过,考虑陈女士可能是肺血管肿瘤,有手术指证,建议尽早在体外循环下行肺动脉肿瘤摘除术+肺动脉内膜剥脱术。
与家属充分交流后,决定在2018年12月8日上午安排急诊手术。

手术当日,陈女士过床后不久,出现呼吸急促、烦躁不安并突发意识丧失及循环障碍。心外科手术团队、麻醉师、手术护士立即协同抢救。
医护团队咬紧牙关、争分夺秒,成功为陈女士实行肺动脉肿瘤摘除术+肺动脉内膜剥脱术,切除的病变送病理检查,回报结果为肺动脉肉瘤!
幸好,术后的陈女士脱离了危险,恢复良好。
一切,continue......
因为只要有一线希望
医生就不能放弃患者
因为自从穿上这身白衣
就已经为发生的一切写下了答案
-END-
科普来源 | 深圳市人民医院心外科
部分图片来源网络 版权归原作者所有
本微信号致力于公益宣传,无任何商业用途,若有文字、图片、视频涉及侵权或违规,请及时告知删除


