膝盖有多重要呢
平时跪搓衣板、跪键盘
可都离不开它……
随着年龄的增长
很多人都会出现
膝关节疼痛、肿胀、活动受限等症状
这其实都是膝骨关节炎在捣乱!

流行病学研究显示
60岁以上人群膝骨关节总发病率约为50%
而在75岁以上人群中则高达80%
如果置之不理
严重时甚至会致残

所以
今天我们请来了
深圳市人民医院骨关节科的林博文主任
教你如何对付这个烦人的膝骨关节炎
▼

膝骨关节炎属于膝关节退行性病变,多发于老年人。与外伤、过度劳累、长期不正确的走路姿势、长时间下蹲、膝关节受凉、体重过重均有关系。
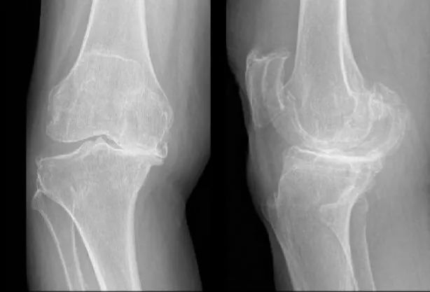
一般来说,膝骨关节炎的X线表现为:骨质增生、关节间隙狭窄不对称、软骨磨损、关节游离体、半月板钙化、髌骨软化等。

有的人一听说自己有膝骨关节炎
病急乱投医
针灸、火罐、敷草药无所不“作”
还有人害怕手术效果不好
宁愿卧床、坐轮椅一辈子也不做手术

问
“医生,膝骨关节炎能治好不?一定要做手术吗?”
首先,这个观点大家一定要晓得:
由于膝骨关节炎是一种退行性关节炎,所以目前没有根治的可能。
但是,不能根治并不能说就不管啊,这膝骨关节炎一旦痛起来也是难以忍受的。
哪怕你有关羽刮骨疗伤的超强忍痛能力,但真的放任不管,致残的几率会大大提高。

虽然不能根治,但对于膝骨关节炎仍然是有治疗方法的。
而且,大部分患者并不需要手术治疗。
▼
膝骨关节炎的治疗目的是减轻或消除疼痛,改善或恢复关节功能,矫正畸形,改善生活质量。

首先,是一些预防性的措施。
日常生活中减少爬山、上下楼梯、提重物行走过多,避免长时间维持一种姿势、长时间跑跳蹲等运动,以减少关节软骨磨损。
注意保暖、防寒冷、防潮湿,可以适当用热毛巾或热水袋热敷膝关节,水疗、按摩等均可有效缓解疼痛,减轻炎症反应。
如果太胖了,必须要减肥,并减少膝关节负重。
问
“所以,膝骨关节炎的患者是不能运动,否则会加重病情吗?”
不是的,正确适量的运动可预防或减慢膝骨关节炎进程,不正确过度的运动才会加重病情。
比如平路步行、游泳、骑自行车等,在非负重的情况下屈伸活动都可以进行。或是在手杖、拐杖、助行器等辅助工具下,减少膝关节负重。

如果这些预防性非药物的治疗都无效,下一步才尝试药物保守治疗。
❅药物治疗
1、外用局部的非甾体抗炎药物的贴剂、膏剂、乳胶剂等,如氟比洛芬凝胶贴、扶他林软膏等。
2、口服非甾体类抗炎药物、阿片类止痛药等,如塞来昔布、依托考昔等。
3、局部关节腔注射治疗,如玻璃酸钠、富含小板血浆(PRP)、干细胞治疗等。

如果症状不断加重,如膝关节疼痛、关节僵硬、关节卡压等影响日常生活,并且保守治疗无效后,必要时可采取手术治疗。
▼
手术方法繁多,根据病情程度不同,可以阶梯性选择,如关节镜手术、截骨矫形手术、单髁置换及全膝置换术。手术目的在于:
① 缓解或消除疼痛;
② 防止或矫正畸形;
③ 改善关节功能;
④ 防止膝骨关节炎进一步加重。
微创关节镜手术
对于一些患者保膝意愿大、局部疼痛症状较轻、有关节游离体、破损半月板等,可以进行关节镜治疗,清除游离体、修复破损半月板、清理关节内炎症物质等。

截骨矫形手术
对于年龄小于65岁、膝关节活动度正常、韧带功能正常、下肢力线不良(膝内翻与膝外翻)、关节外畸形的患者,可以进行截骨矫形手术,能有效减少内侧的关节面负重和接触面积,从而延缓关节炎进一步加重。

单髁置换术
对于年龄大于55岁、内侧间室关节炎、关节活动度尚可、关节内畸形的患者,可以进行单髁置换术,能解决关节内磨损,去除病损部位,矫正畸形,缓解疼痛,进而改善关节功能,避免膝关节骨关节炎进一步进展。

全膝关节置换术
对于一些膝关节疼痛明显、畸形严重、磨损超过两个关节间隙的患者,以及一些少见的关节炎如类风湿性关节炎、风湿性关节炎等,可以进行全膝关节置换术,去除膝关节表面磨损硬化软骨及增生骨质,能有效减轻疼痛,恢复关节功能。

看到这
是不是已经get到
膝骨关节炎的相关知识了呢
如果还有疑问
来来来~~~

为了普及膝骨关节炎的相关知识
及阶梯性治疗理念
本周日(7月28日)
深圳市健康管理协会骨科专业委员会
将携深医及多家三甲医院的骨科专家们
举办全国百城联动“保膝”义诊活动
“保膝日-保护膝关节”全国义诊活动(首发站)
2019年7月28日上午9:00-12:00
深圳市福田区福强路益田村社区医院
参与医院
● 深圳市人民医院
●深圳市第二人民医院
● 北京大学深圳医院
● 深圳大学附属总院
●深圳市南山区人民医院
●深圳市龙岗区人民医院
●深圳市盐田区人民医院
●深圳市宝安区中医院
要是错过的话
就只能等明年了
这么重要的事情深医君就不说三遍啦
小伙伴们记得早点来占个靓位哟~

深圳市人民医院骨关节科
深圳市人民医院骨关节科是深圳市最早建立的市级医院骨科专业科室,也是深圳市开展人工关节置换和各类现代化骨科手术,实行标准化、规范化管理最早的骨科专业科室,是深圳市首批获得广东省卫生厅认定“关节置换准入资格”的科室。
作为广东省医学会关节外科分会副主委单位、广东省医师协会骨关节外科医师分会副主委单位、广东省医师协会创伤骨科医师分会副主委单位、深圳市健康管理学会骨科专业委员会主委单位、深圳市医学会创伤骨科分会副主委单位,科室人才及技术力量雄厚,现有医务人员60名,其中高级职称12人,博士硕士研究生18人,博导1人,硕导3人 。科室专业化建设成熟,设置关节疾病组、老年骨科组、创伤急救组、运动医学组、足踝疾病组、骨病肿瘤组、肢体矫形组等,各专业组临床技术水平过硬,尤其是关节疾病的全程治疗以及老年骨质疏松骨折的综合治疗等方面在深圳市处于领先水平。
来源 | 深圳市人民医院骨关节科
姜未副主任医师 刘文涛医师

