随着年龄的增长
不少男性都面临着前列腺增生的困扰
有事没事跑厕所
小便不通畅且痛
这种痛苦只有自己知道

而75岁的李大爷
就因为前列腺增生
前列腺的重量竟然达到了300g……
1
75岁老人饱受前列腺增生困扰
因担心创口过大拒绝开放手术
75岁的李大爷身高168cm,体重近190斤。近3年来,李大爷饱受排尿困难的困扰。一周前,排尿困难明显加重,苦不堪言的李大爷只好到家附近的医院就诊。
经过检查,发现李大爷前列腺超级巨大,接近300克,保守治疗无效。医生建议李大爷行开放性前列腺摘除术,由于开放手术创口大,李大爷拒绝进行手术。

2
巨大前列腺手术难度高
深医专家有办法
李大爷及家人辗转了多家医院,都没有合适的手术方案。正当李大爷陷入绝望之际,有人介绍说深圳市人民医院泌尿外科的医术精湛且治疗效果很好。
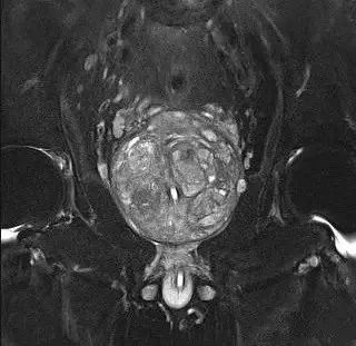
于是,李大爷抱着试一试的态度来到了深医泌尿外科,刘增钦医生为李大爷进行了前列腺超声及核磁共振检查,证实他的前列腺接近罕见的300克。

△ 术前核磁共振成像
经过深医泌尿团队的多次讨论,认为“经尿道等离子剜除术”这个方案最佳,但挑战也非常大。因为前列腺增生微创手术治疗的难度及风险会随前列腺体积的增加而上升。大体积前列腺一般为60克以上,各大权威指南认为80~100克前列腺增生不适合行经尿道前列腺电切术。

面对李大爷及家属殷切的目光,刘增钦医生果断决定采用改良式经尿道等离子前列腺分叶剜除术,为李大爷解除痛苦。
3
深医专家医术精湛
妙手仁心力挽狂澜
在与麻醉科、手术室的密切配合下,李大爷的手术如期进行。虽然刘增钦医生在术前做了充分准备,但面对如此巨大的前列腺,还是发现了现有手术器械的一些瓶颈。镜鞘整个置入后电切环够不着膀胱颈,需要用劲顶住镜鞘,尽力伸出电切环勉强够着膀胱颈12点位置边缘。
最终,手术历时约4小时顺利结束,术中出血少,术程平稳。手术后的第二天,李大爷已经可以下床活动了。但考虑到李大爷的腺体巨大,所以手术后没有按照常规第二天拔除尿管,而是将拔除尿管时间延长至术后第五天。
经尿道手术等离子剜除术,通过尿道这一自然通道,完全切除巨大前列腺增生,不需在身体皮肤上作任何切口,患者康复也非常快,拔除尿管后即可恢复正常小便。
拔除尿管后李大爷排尿顺畅,有轻微压力性尿失禁,一个月尿失禁基本恢复,三个月时尿失禁完全恢复。

△ 刘增钦医生与患者的合影
手术的成功让李大爷放松地长出了一口气,伴随着多年的“负担”终于可以卸下了……
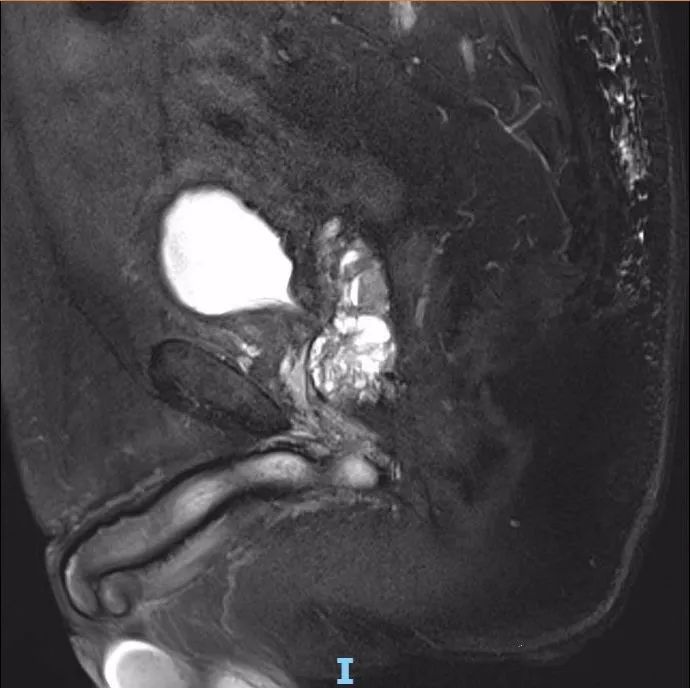
术后一年半,李先生又到医院复查,前列腺大小已减少至20g,各项指标也都显示正常。

△ 术后核磁共振成像
深圳市人民医院泌尿外科
深圳市人民医院泌尿外科在微创泌尿外科、泌尿系结石的软镜治疗、显微男科手术方面的水平达到了国内领先水平,先后成为国际尿石联盟培训基地、女性盆底功能障碍治疗培训基地、中国TSC-AML协作组、中国膀胱癌联盟、中国泌尿肿瘤MDT100佳、广东省抗癌协会前列腺癌多学科协作组、中国肾癌联盟成员单位,并参与了全国泌尿系结石诊疗指南、泌尿系围术期感染、早泄治疗的专家共识编写工作。已成功举办两届的”鹏城泌尿系结石高峰论坛”,为推进全国泌尿外科同道跨地域交流、制定行业标准作出了积极贡献。
来源 | 深圳市人民医院泌尿外科 刘增钦

