5月17日上午,市中心人民医院胸心外科在省第二人民医院王文林教授指导下,顺利完成惠州首台Wang手术。近2岁重度漏斗胸患儿术后4天治愈出院。
漏斗胸是最为常见的一种胸壁疾病,发病率为0.2%-0.8%,由于重视度的不够,国内很多医院对胸壁疾病的研究与治疗都相对落后,这就使得很多患者“求医无门”。 Wang手术的开展,不仅丰富了漏斗胸的治疗手段,也填补了惠州低龄漏斗胸患者手术治疗领域的空白。
低龄儿渐现漏斗胸,手术不能等
这是一名1岁9个月的患儿,出生后不久,逐渐出现胸廓凹陷畸形,并随着时间增长畸形越发明显。于是,患儿父母将他送来市中心人民医院接受治疗。
胸部凹陷是小儿漏斗胸典型症状,不仅影响孩子胸廓外观,还会压迫心脏,造成呼吸困难、心脏移位、影响心肺发育等。
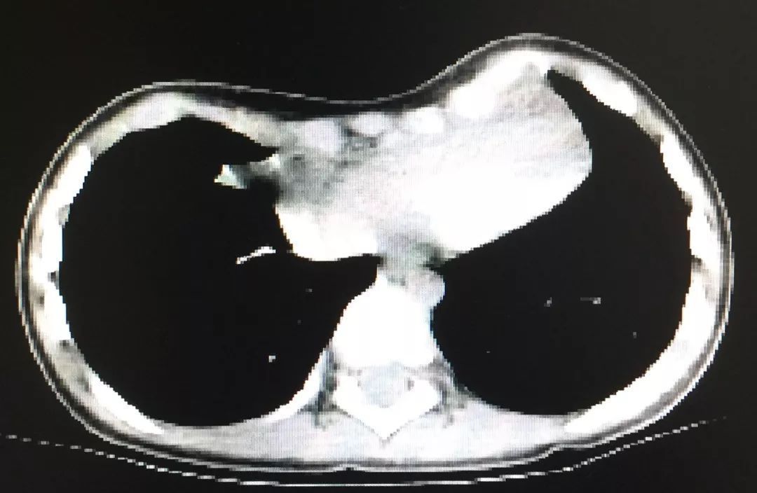
患儿入院后经检查,见前胸壁已呈严重漏斗状凹陷,胸部CT检查可见心脏已明显受压。医生表示,这种畸形必须要尽早接受手术治疗。
但由于患儿年龄太小,通常漏斗胸至少要等到五岁以后才能进行手术治疗。患儿父母非常焦虑,生怕等下去会对孩子身体免疫力带来更大破坏。为了让患儿尽早得到救治,胸心外科专家经过充分论证,并征得其父母同意,决定为患儿实施一种全新的、能突破年龄限制的漏斗胸超微创手术——Wang手术。
众专家挑战新术式,突破低龄限
“Wang手术”是一种全新设计的治疗漏斗胸术式。该手术只需在前胸壁开一个长约1.5cm的微小切口,全部操作无需胸腔镜,均可在直视下远离心脏完成,并可有效克服NUSS手术对年龄的限制,尤其适用于低龄漏斗胸患儿治疗。较之传统术式,具有手术切口小,安全系数高,患儿覆盖面广等优点。被称为“创可贴”手术。
5月17日上午,在Wang手术的发明人——广东省第二人民医院胸壁外科主任王文林教授的指导下,胸心外科与麻醉科密切配合,通过喉罩全麻,避免气管插管、动静脉插管、尿管及胸腔闭式引流管的放置,使手术操作的创伤降到最低。手术过程无插管、无出血。术中结合Tubeless快速康复理念和Tubeless技术,仅用时10多分钟便顺利完成惠州首台Wang手术。
术后患儿胸壁塑形良好,漏斗胸完全消失,患儿康复快速,于术后第4天顺利出院。

术前

术后

术前

术后
供稿/供图:胸心外科 魏崴
审稿:曾宁
主编:曾宁
编辑:钟一夫
喜欢就点个“在看”↓↓↓

