广州中医药大学一附院微信订阅号【筋骨堂】专栏,逢周四推送!本栏文章由该院骨科专家名医亲自撰文或指导写作,内容涉及众多骨科常见病的科普讲解与防治建议,实用、权威!敬请关注!
人工髋关节置换术后备忘录
医学指导/三骨科 何伟 主任医师
文/三骨科 陈雷雷 副主任医师
输
经过半个多世纪的发展,人工髋关节置换术日臻成熟,被誉为20世纪骨科最重要的成果之一,也是骨科乃至整个外科成功率最高的手术之一,全世界每年都有数以百万计的髋关节病患者因此而解除痛苦,重新恢复生活与工作能力。
但笔者在接诊过程中,仍发现关节置换患者普遍对人工关节和翻修认知存在偏见及错误,特撰写备忘录一篇,以供关节置换术后病人查阅参考。
1.人工髋关节并非一劳永逸
人工髋关节置换目前已成为多种髋关节疾病的“终极”解决方案,为越来越多的髋关节骨关节炎、股骨头坏死、类风湿、强直性脊柱炎患者所熟知。装了人工髋关节的患者总希望人工髋关节一旦装上就可以一劳永逸,其实不然。像所有机械产品一样,人工髋关节也有其使用寿命。早些年接受人工髋关节置换术的以老年人为主,近些年有越来越多的中青年患者也选择接受这一治疗方案。人工髋关节初次置换的10年成功率已经超过90%,20年成功率超过80%,但随着人均预期寿命的增长,人工关节的使用寿命对于许多中青年患者仍不够长。加上手术技术的失误、假体本身的缺陷、患者自身原因等因素,仍有部分患者或早或晚出现诸如假体松动、脱位、感染、假体周围骨折等并发症。随着假体使用时间的推移,人工关节并发症的发生率将不断增加,不少患者将面临翻修的困境。从发达国家来看,翻修手术已经达到关节置换手术的15%左右,可以预料国内此类翻修术的持续上升也将不可避免。

图1 各种原因所致人工髋关节翻修
2.人工关节应定期“年审”
临床观察发现,很多患者初次置换术后功能恢复良好,不少人以为从此就万事大吉,也不再复查了。其实,如同汽车需要年审一样,为了避免“带病工作”,每一例人工髋关节置换术后患者都需定期复查。“不少患者未能定期复查,这客观上也影响到人工关节的使用寿命。”有些人术后感觉不疼就以为没事,这种感觉其实有时候并不准确,而需要定期拍片观察,才能及早发现假体是否出现松动等问题。
我们建议,患者术后1个月即应进行复查,以判断功能恢复以及伤口愈合的情况;术后3个月应进行第二次复查,看假体跟骨头的结合程度如何、行走是否正常;若无异常,此后每年做一次“年审”,至少8年就应好好大检一次。复查内容包括:是否疼痛、行走步态、髋关节功能、拍X线片了解假体的位置、稳定性等,有时还需要作血液学检查、CT、ECT等。
“不少人未定期复查的原因是怕麻烦”,其实复查方式可以灵活些,除了患者直接到医院接受检查外,边远地区的患者也可以跟手术医生沟通好,在他们允许的情况下由患者在当地医院拍X线片寄给医生,同时用电话、微信告知康复情况,具体每次复查时间应听从手术医生的安排。

图2 患者与医生进行微信复查
3.患者应有“保养”的意识
要想延长人工关节的使用寿命,我们认为,排除手术技术和假体质量因素,除了做好术后定期复查外,患者是否用心保养也是影响人工关节使用寿命的关键因素之一。
想尽量延长假体寿命,还须控制体重、预防感染、避免剧烈运动。80公斤以上的患者应适当减肥;而身上出现感染灶的患者要及早治疗、消除隐患;另外,不要做剧烈、特别是对关节存在较大冲击性的运动,比如打羽毛球、登山等,尽量选择游泳、骑车等对关节相对较“友好”的运动。

图3 患者术后应选择游泳、骑车等对关节相对较“友好”的运动
4.人工髋关节出现异常要及时翻新
人工髋关节置换术后已经康复、可以正常行走与活动者,若出现髋部或大腿疼痛、伴有或不伴有发热、或髋部不能活动,往往提示假体出了问题,需要尽快联系手术医生,明确原因,采取相应措施,这些症状提示假体可能需要翻修。”其诱因包括手术技术的失误、假体本身的缺陷、患者自身原因等因素。
翻修手术比初次置换更困难,翻修不及时是翻修手术困难的最主要原因之一。“很大程度上是由于患者未能按要求定期随访,甚至出现上述异常后仍存在能拖就尽量拖的心理,也有的是由于原来手术的医院提供的服务不到位,导致人工关节置换失败不能及时发现,增加了翻修手术的难度。
人工髋关节翻修术最常见的原因有假体松动、感染、脱位、假体周围骨折等。一般而言,人工髋关节翻修后,假体的使用寿命比初次置换要短一些,主要原因是患者的骨组织质量不如初次置换时坚韧。对于已经明确松动、感染、反复脱位的患者,不要长时间拖延,而应该及时翻修,从而降低手术难度,提高翻修的成功率。

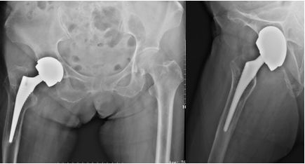
图4 76岁,女性患者,9年前于外院行全髋关节置换术,术后恢复良好;2年前开始出现疼痛,近半年无法行走,需轮椅代步。
术后早期下地活动视频

图5 翻修术后髋关节假体稳定,假体位置角度良好,可早期下地活动锻炼
5.人工髋关节可以翻修多少次?
人的一生中人工髋关节可以翻修多少次?理论上,人工髋关节的翻修次数没有上限,目前已有不少第三次、第四次翻修成功的案例。但随着翻修次数的增加,手术的难度也不断增加,所以尽量减少翻修是人工关节置换技术努力的方向。

图6 70岁女性,THA术后1年松动,翻修术后仍有疼痛,生活不能自理

图7 第二次翻修取出的臼、柄、骨水泥块,肉芽肿组织

图8 第三次翻修术后3年,髋关节无痛,功能可,生活可以自理
下期筋骨堂开始,我们将结合具体病例详细讲解每一个注意事项!
专家简介

何伟,广州中医药大学中医骨伤科学国家重点学科带头人,博士研究生导师,博士后合作导师,广东省名中医,享受国务院颁发的政府特殊津贴,国家科技进步二等奖、中华中医药科技进步二等奖获得者。
中国中西医结合学会骨科分会骨坏死工作委员会主任委员、中华中医药学会骨伤科分会常委、中国医师协会骨科分会骨循环与骨坏死工作委员会副主任委员、中华中医药学会骨伤科分会股骨头坏死专业委员会主任委员、中国中医药研究促进会骨伤科专业委员会副主任委员、中国康复医学会修复与重建专业委员会骨坏死分会副主任委员、中国中西医结合学会骨科分会关节外科学组副主任委员、中国医师协会骨科医师分会关节外科工作委员会保髋工作组副组长、广东省中西医结合学会关节病专业委员会主任委员、广东省康复医学会骨关节与风湿病专业委员会副主任委员。
擅长:股骨头坏死中西医结合保髋治疗、髋关节疑难疾病的诊断与手术治疗、复杂人工髋、膝关节置换与翻修等。
出诊时间:周一下午(门诊楼六楼骨科 7 号诊室)、周四上午(门诊南楼四楼岭南名医门诊)
专家简介

陈雷雷,广州中医药大学第一附属医院副主任医师,硕士生导师。广东省自然科学杰出青年基金获得者,“广东特支计划”科技青年拔尖人才,广东省杰出青年医学人才,岭南医学研究中心PI,广州中医药大学第一附属医院2017年度科研青年岗位能手。
师从我国著名股骨头坏死专家何伟教授,长期致力于股骨头坏死等髋关节疾病的基础与临床研究。近5年先后主持国家省部级课题共7项,先后在国内外核心期刊发表学术论文30余篇,其中SCI收录10篇,参译临床专著2部。
擅长病种:股骨头坏死、髋关节退变、髋关节发育不良、小儿股骨头坏死等髋关节疾病;膝关节退变、运动损伤等。
出诊时间:周四下午(门诊楼六楼骨科 2 号诊室)
温馨提醒
请关注下方“广州中医药大学一附院”或“广州中医药大学第一附属医院” 公众号。关注后进入页面菜单栏“就诊助手”或“门诊服务”,搜索“医生姓名”即可挂号。



