广州中医药大学一附院微信订阅号【筋骨堂】专栏,逢周四推送!本栏文章由该院骨科专家名医亲自撰文或指导写作,内容涉及众多骨科常见病的科普讲解与防治建议,实用、权威!敬请关注!
人工髋关节出现异常要及时翻新
医学指导:三骨科 何伟主任医师
文/三骨科 陈雷雷副主任医师
上周“筋骨堂”栏目我们结合具体病例讲解了人工髋关节术后应定期年审,至少8年大检一次。本次我们继续介绍人工髋关节相关知识,人工髋关节术后出现异常要及时翻新,不能一拖再拖。希望通过系列科普讲解,能够给更多患者以提醒,避免各种错误认知影响人工关节的使用寿命。
提醒一
人工髋关节出现异常要及时翻新
人工髋关节置换术后已经康复、可以正常行走与活动者,若出现髋部或大腿疼痛、伴有或不伴有发热、或髋部不能活动,往往提示假体出了问题,需要尽快联系手术医生,明确原因,采取相应措施,这些症状提示假体可能需要翻修。”其诱因包括手术技术的失误、假体本身的缺陷、患者自身原因等因素。
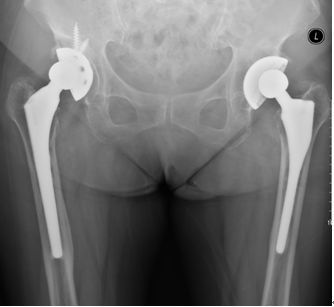
附1
简单翻修病例

78岁,女性患者,1997年、1998年分别于外院行左侧、右侧全髋关节置换术,术后无痛,功能恢复良好;2011年开始出现右髋疼痛,外院保守治疗,症状缓解不明显,2012年始无法行走,需轮椅代步,来诊X片如上。

2012年5月于我院行右侧髋关节翻修术,2019年右髋翻修术后近7年,左侧初次置换术后22年,2019年1月复查照片,双髋关节假体稳定,位置角度可,患者生活可自理。
翻修手术比初次置换更困难,翻修不及时是翻修手术困难的最主要原因之一。“很大程度上是由于患者未能按要求定期随访,甚至出现上述异常后仍存在能拖就尽量拖的心理,也有的是由于原来手术的医院提供的服务不到位,导致人工关节置换失败不能及时发现,增加了翻修手术的难度。
人工髋关节翻修术最常见的原因有假体松动、感染、脱位、假体周围骨折等。一般而言,人工髋关节翻修后,假体的使用寿命比初次置换要短一些,主要原因是患者的骨组织质量不如初次置换时坚韧。对于已经明确松动、感染、反复脱位的患者,不要长时间拖延,而应该及时翻修,从而降低手术难度,提高翻修的成功率。
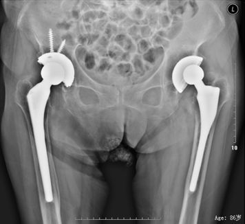
附2
复杂翻修病例

45岁,女性患者,2010年4、5月前于外院行分别行双侧全髋关节置换术,术后1年开始出现双髋轻微疼痛,未予系统诊治;2014年3月来我院就诊,只能卧床,被动强迫体位,双髋活动严重受限,X片如上。

诊断为双侧人工髋关节假体周围感染,于2014年4月分别行双侧髋关节假体取出、病灶清理、抗生素骨水泥占位器旷置术

感染控制后于2014年7月、8月分别行左、右侧复杂髋关节翻修术(Spcer占位器取出,钛网固定、打压植骨、翻修假体植入,右侧联合使用大粗隆钢板)。术后4年复查照片如上,打压植骨血管化,髋关节假体稳定,位置角度良好,患者功能恢复良好。
提醒二
人工髋关节可以翻修多少次?
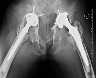
人的一生中人工髋关节可以翻修多少次?理论上,人工髋关节的翻修次数没有上限,目前已有不少第三次、第四次翻修成功的案例。但随着翻修次数的增加,手术的难度也不断增加,所以尽量减少翻修是人工关节置换技术努力的方向。

70岁女性,THA术后1年松动,翻修术后仍有疼痛,生活不能自理

第二次翻修取出的臼、柄、骨水泥块,肉芽肿组织

第三次翻修术后3年,髋关节无痛,功能可,生活可以自理
专家简介

广州中医药大学中医骨伤科学国家重点学科带头人,博士研究生导师,博士后合作导师,广东省名中医,享受国务院颁发的政府特殊津贴,国家科技进步二等奖、中华中医药科技进步二等奖获得者。
中国中西医结合学会骨科分会骨坏死工作委员会主任委员、中华中医药学会骨伤科分会常委、中国医师协会骨科分会骨循环与骨坏死工作委员会副主任委员、中华中医药学会骨伤科分会股骨头坏死专业委员会主任委员、中国中医药研究促进会骨伤科专业委员会副主任委员、中国康复医学会修复与重建专业委员会骨坏死分会副主任委员、中国中西医结合学会骨科分会关节外科学组副主任委员、中国医师协会骨科医师分会关节外科工作委员会保髋工作组副组长、广东省中西医结合学会关节病专业委员会主任委员、广东省康复医学会骨关节与风湿病专业委员会副主任委员。
擅长:股骨头坏死中西医结合保髋治疗、髋关节疑难疾病的诊断与手术治疗、复杂人工髋、膝关节置换与翻修等。
出诊时间:周一下午(门诊楼六楼骨科 7 号诊室)、周四上午(门诊南楼四楼岭南名医门诊)
作者简介

陈雷雷,广州中医药大学第一附属医院副主任医师,硕士生导师。广东省自然科学杰出青年基金获得者,“广东特支计划”科技青年拔尖人才,广东省杰出青年医学人才,岭南医学研究中心PI,广州中医药大学第一附属医院2017年度科研青年岗位能手。
师从我国著名股骨头坏死专家何伟教授,长期致力于股骨头坏死等髋关节疾病的基础与临床研究。近5年先后主持国家省部级课题共7项,先后在国内外核心期刊发表学术论文30余篇,其中SCI收录10篇,参译临床专著2部。
擅长病种:股骨头坏死、髋关节退变、髋关节发育不良、小儿股骨头坏死等髋关节疾病;膝关节退变、运动损伤等。
出诊时间:周四下午(门诊楼六楼骨科 2 号诊室)
温馨提醒
请关注下方“广州中医药大学一附院”或“广州中医药大学第一附属医院” 公众号。关注后进入页面菜单栏“就诊助手”或“门诊服务”,搜索“医生姓名”即可挂号。
觉得不错,请点好看↓↓↓



