

广州中医药大学一附院微信订阅号【筋骨堂】专栏,逢周四推送!本栏文章由该院骨科专家名医亲自撰文或指导写作,内容涉及众多骨科常见病的科普讲解与防治建议,实用、权威!敬请关注!
莫让崴脚成为一种“习惯”
医学指导:四骨科 向孝兵主任医师
文/四骨科 李杰主治医师
我们平时常说的“崴脚” 医学上称为踝关节扭伤。踝关节扭伤在生活中的发生率非常高打篮球、踢足球、穿高跟鞋等等,都有可能导致脚踝扭伤。因为日常生活中经常发生,大多数人没有把崴脚放在心上,很少到医院就医。因为对踝关节扭伤重视程度不够,因此接近40%的踝关节扭伤会发展成为慢性踝关节不稳,也就是我们常说的“习惯性扭伤”。

踝关节容易反复扭伤的原因
踝关节除了由胫腓骨远端以及距骨骨性结构构成外还有附着在骨骼上的肌肉和韧带构成,它们共同维持踝关节的稳定。由于骨性结比较结实,我们在发生踝关节扭伤时往往韧带更容易受伤。人体踝关节外侧骨性结构较内侧更低且外侧韧带较内侧薄弱,所以我们踝关节发生扭伤时有约80%的病人是由于踝关节内翻导致关节外侧副韧带受损。

踝关节反复扭伤患者在追问病史时多可发现患者在首次踝关节受伤时会伴随有踝关节明显肿胀,这种表现往往代表维持关节稳定的外侧副韧带尤其是距腓前韧带损伤。但是很多人却认为不需特殊治疗,等待肿胀消退后就会自行好转,在首次受伤后没有得到及时的正规治疗,或者治疗方法不当,导致保护踝关节稳定的韧带没有愈合,从而使踝关节稳定性下降,导致踝关节更容易扭伤。很多人表现为走不平的路或者女性穿高跟鞋时候踝关节有明显的肿痛或者不稳定感觉,也有一部分人走路时会出现打软腿症状。

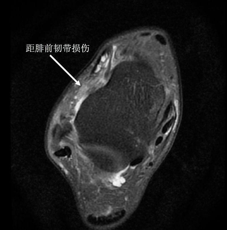
(踝关节距腓前韧带损伤)
(正常的距腓前韧带)

踝关节反复扭伤的危害
在日后生活中,由于踝关节反复多次扭伤,往往不可避免的会导致踝关节骨质增生导致踝关节出现撞击或者引起踝关节软骨损伤,而软骨损伤后很难自行恢复,行走时踝关节就会出现疼痛肿胀情况,到最后踝关节就会发生提前退变,导致踝关节性骨关节炎的提前到来。

(踝关节反复扭伤导致距骨软骨损伤)
踝关节反复扭伤的预防及治疗
踝关节扭伤后,我们常规而准确的处理是按RICE原则进行;即马上休息(Rest),冰敷(Ice),包扎(Compression),抬高患肢(Elevation) 。踝关节初次扭伤后经过正确的治疗绝大部分患者可以避免踝关节反复扭伤的发生,建议大家出现踝关节扭伤后应当积极重视并到正规医院及时就诊。

如果已经出现踝关节反复扭伤的情况需要怎么来治疗呢?其实在踝关节反复扭伤的早期只要通过正确的肌肉锻炼和康复治疗约有一半的患者可以重新获得稳定的关节,达到良好的治疗效果。如果患者症状没有得到明确的缓解,可跟据韧带的具体损伤情况,考虑行韧带修补或者重建术使受伤的踝关节恢复稳定,从而避免反复扭伤的发生。
专家简介
向孝兵,医学博士,主任医师。
擅长:肩关节疾病及膝关节运动创伤的关节镜微创治疗。如:肩袖撕裂、冻结肩(肩周炎)、肩关节脱位、肩盂骨折、钙化性肌腱炎等;膝关节交叉韧带断裂、半月板损伤、软骨损伤、滑膜炎等。
出诊时间:周二上午、周三下午(门诊楼六楼 骨科一号诊室)
作者简介

李杰 医学博士,主治医师。
擅长:主要研究方向为肩、膝、踝关节运动创伤的微创治疗,如膝关节前后交叉韧带、半月板损伤及髌骨习惯性脱位的诊治;肩袖损伤、肩关节脱位、肩峰撞击、肩周炎等疾病的诊治;踝关节习惯性扭伤以及骨坏死和软骨损伤等疾病的诊治。
出诊时间:周六下午(门诊楼六楼1号诊室)
温馨提醒
请关注下方“广州中医药大学一附院”或“广州中医药大学第一附属医院” 公众号。关注后进入页面菜单栏“就诊助手”或“门诊服务”,搜索“医生姓名”即可挂号。
觉得不错,请点好看↓↓↓



