人体内的血管是运输血液的高速公路,当心脏的“高速公路”发生堵车时,会发生什么?近日,东莞市松山湖中心医院(东莞市第三人民医院)接收了一名患有急性心梗并急性左心衰的患者。老人的血管堵塞情况十分严重,生命随时可能随着心脏供血不足而受到威胁!经过缜密的手术,医院心内科主任兰军率领团队顺利打通了患者堵塞的血管,成功地从死神手里夺回了又一条生命。
迟迟不肯就医,六旬老人心血管严重堵塞
近日,松山湖中心医院心内科CCU迎来了一位患者,患者钱先生今年63岁,在园洲居住。前些日子因为反复出现心绞痛、呼吸困难,不能平卧,非常担心,但是又因为害怕前往医院迟迟不肯就医。
在家人劝说下,钱先生来到园洲医院。在进行心电图检查后,钱先生被初步诊断为急性心梗、急性心衰。作为心衰中心网络医院之一的园洲医院第一时间与松山湖中心医院“心衰中心”联系。该院立即开放绿色通道将钱先生收入心内科CCU。
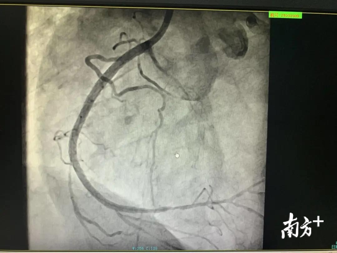
为了更加准确判断钱先生的病情,兰军为钱先生进行抗心衰治疗后,为患者行冠状动脉造影术。当他看到钱先生的心脏血管的情况时,兰军脸色变得十分严峻:造影术显示左前降支近段完全闭塞;回旋支远端重度狭窄,右冠状动脉中段慢性完全闭塞。


“钱先生三条大的冠状动脉堵塞了最大的两条,剩下的一条动脉随时有可能堵塞的状态,心血管堵塞程度十分严重。”兰军说,目前最有效的方法是争分夺秒打通闭塞的血管。但是,因钱先生的病情危重,手术的死亡率有可能达到80%以上!
攻克“冠状介入的堡垒”,与“死神”擦肩而过
在听到兰主任的提到的高死亡率后,钱先生家属拉着兰军主任的手说,相信医生的实力。
兰军马上召开紧急病情讨论,由于钱先生的情况危殆,血管堵塞情况严重,为降低手术的风险,兰军最后决定通过两次手术分别打通堵塞的血管。在确认手术方案后,兰军向急性闭塞的“左边的血管”植入1枚支架,在完成支架手术后,钱先生心绞痛的感觉消失。

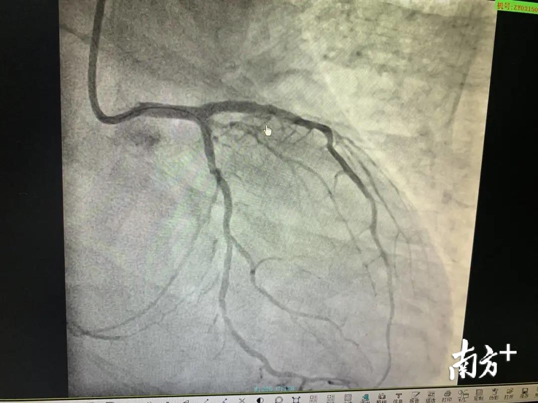
在完成左侧血管支架手术后,钱先生的病情得到了暂时缓解。但因右侧血管堵塞多时,不能正常供血,血管内已经严重钙化,出现了低血压、室速、心脏骤停的情况,被诊断为冠状动脉慢性完全闭塞性病变(CTO),这是冠脉介入治疗领域内难以攻克的堡垒。想要打通这条闭塞多时的血管,难度相当大。
兰军马上启动二次手术,尽早将闭塞的右侧血管打通。他采用目前世界最先进的“逆向导丝开通血管”技术。在距离第一场手术两周后,钱先生接受了第二场手术。在经过100分钟的奋战,心内科团队打通长期堵塞的右侧血管,成功地从死神手里夺回钱先生的生命。


“护心”小TIPS:
据介绍,松山湖中心医院作为“国家胸痛中心”“国家房颤中心”“南方心衰中心联盟”,今年将努力创建“国家心衰中心”,并于近期顺利通过专家网审阶段,即将接受专家现场核查。
近年来,医院胸痛、房颤、心衰中心与下辖的社区服务中心在积极落实国家基层首诊、双向转诊的分级诊疗政策,急慢分治、上下联动。钱先生能够得到成功救治,得益于社区、网络医院、“心衰中心”的紧密联动,得益于医院完善的医疗救治服务和健康保障。
对于有心脏疾病的患者,兰军说,需要在生活中注意以下细节:
1、认真监测、遵医服药
定期检查心率、血压,并严格按照医嘱服用药物,不可自行停药或减量。
2、规律作息、稳定情绪
避免熬夜,保持早睡早起的习惯;遇到什么事情都不可过于兴奋激动,避免血压的飙升导致出现心脏疾病问题。
3、线上咨询、预约挂号
松山湖中心医院有完善的线上咨询平台及预约系统(包括电话预约、网上预约等),比如冠心病患者在服用药物的情况下,出现了新症状或症状出现了明显变化,需要及时咨询就诊。尤其是出现了持续不能缓解的情况,需要及时拨打120。
4、就近开药,同名代替
家中没药了,一定及时就近补充。当地医院或社区医院如果没有同种药物,可以用化学名相同的其他厂家药物代替,同时注意剂量。
【记者】欧雅琴
【通讯员】刘瑞杰 郭钊 罗丽舒

