二胎妈妈韩女士(化名)从没想过,她的宝宝靓靓(化名)出生后,竟然连穿鞋穿袜、走路都会成问题:因为她的左脚只有三根脚趾,右脚更是只有大脚趾和小趾。更可怕的是,宝宝脚板中间还呈V型裂开!
3月9日,记者从深圳市儿童医院获悉,经过4个小时的努力,骨科医生顺利帮靓靓做了双裂足畸形矫正并拢术,她可以像其他小朋友一样穿上漂亮的鞋子,学走路了。

二胎宝宝双脚只有5只脚趾
34岁的韩女士怀上了二胎,得知这一消息,全家人都很开心。对于这个即将到来的小生命,他们也非常期待。
由于是高龄产妇,每次产检韩女士都不敢马虎,都是按时去检查,结果都挺好的。去年1月,靓靓(化名)出生了。
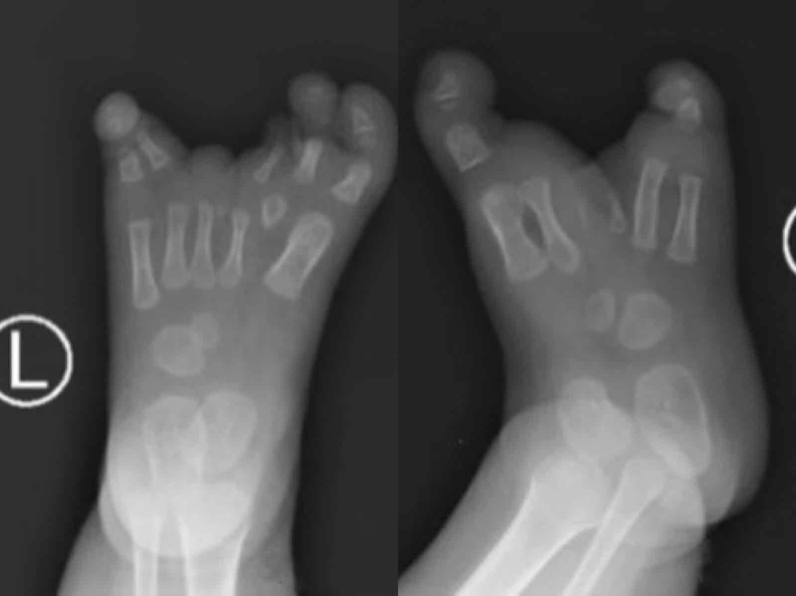
短暂的喜悦后,一家人遭遇了晴天霹雳:靓靓的两只脚加起来才5只脚趾!
她的右脚只有大脚趾和小脚趾,中间的脚趾头是残缺的。左脚的情况也没有好多少:左脚有三根脚趾,而且除了大脚趾,其他两根脚趾头都是畸形的。
听到这个消息,全家人都傻眼了,靓靓妈难过地哭了,“我们全家都没有缺手缺脚,这孩子为啥就得了这个病?孩子脚趾长这样,以后能正常走路、生活吗?
一个个现实的问题,像一座大山压得这个家庭喘不过气来。
由于孩子得了“怪病”,靓靓家人小心翼翼地保护起她,平时都不敢给亲戚朋友多看几眼,满月酒也是草草了之。
很快孩子已经11个月,到了快要学走路的关键节点,她的两只脚也愈发让人担心:
靓靓的脚看上去像是从中间裂开了,“V型”的裂口越来越大,大脚趾和其他脚趾分别指向两边。这不仅没法穿袜子、穿鞋,也影响了正常学站立、走路。

“稀有”罕见病发病率为10万分之一
看着粉雕玉琢的孩子,韩女士时常偷偷抹泪,揪心得很。这期间,韩女士也带着靓靓四处求医,但因病情罕见,一直没有效果。
抱着试试看的态度,韩女士带着靓靓来到深圳市儿童医院。恰好,当天骨二科韩镜明主任出诊。在详细了解靓靓的病情后,他当即建议孩子住院手术治疗。
原来,靓靓得的这个“怪病”,在医学上称为先天性裂足。这是一种罕见的畸形,又称“龙虾爪”或先天性缺趾畸形。
深圳市儿童医院骨二科主任韩镜明介绍,这个病是在胎儿期由于四肢端骨的正中轴发育异常,引起余趾发生不同类型的缺失或融合。患儿如没有及时治疗,对他们的肢端功能及生活将有严重的影响。
有报告称,该病的发病率大约为10万分之一,属于罕见病中的“稀有品种”。目前,国内对小儿裂足畸形的文献报道也较少。有些骨科医生,可能一辈子都碰不到1例这样的患者。
4小时完成双裂足畸形矫正并拢术
从医数十年的韩镜明,对靓靓的病情也非常关注。这也是深圳市儿童医院第一例裂足畸形患者。
靓靓办理入院后,骨二科专门成立以韩镜明科主任为组长的医疗小组,和以护士长为组长的护理小组,这算是骨科“最豪华”的配置了。
为了达到最佳的手术效果,医生们不仅反复查阅文献资料,科室还多次组织医生对靓靓的手术进行了术前讨论及仔细的评估,并为她制定了详细周密的个性化治疗方案。
先天裂足畸形患者手术治疗的方案有多种,一种是一期手术治疗,另一种是分期手术治疗(一般分两期)。“在临床上,实行分期手术的先天裂足患者较多见。”韩镜明说。
他介绍,“分期手术,第一期手术先减少裂足的宽度畸形,及“V”字畸形,也就是不让这个“V”型的口越来越大、越来越宽;待患儿随着生长发育的塑像能力的改变,到第二阶段,再在去纠正其脚趾畸形。”
经过精心准备,靓靓在深圳市儿童医院做了双裂足畸形矫正并拢术。经过四个小时的努力,手术顺利结束。

二期手术要视情况而定
然而,手术只是第一步,恢复护理还面临一系列的难题:
靓靓快一岁了,正是要站立想走路的时候。可是一旦站立,她的伤口就会裂开,不仅影响手术效果,还会增加伤口感染等风险。
细心的医护人员想了个办法:给孩子的双下肢做石膏固定。这样,孩子即使翻动,也不会影响伤口恢复。
经过一个多月复查、换药观察,靓靓的手术效果非常好,她也可以像其他小朋友一样穿上漂亮的鞋子,学走路了。
而等靓靓再大一些,还可以根据脚部发育情况,决定是否需要进行第二期手术。
通过两次手术,靓靓能和其他孩子一样,有正常的脚趾吗?
“很遗憾,现在还做不到!”韩镜明说。由于孩子先天性的缺陷,本身就缺少的手指和脚趾,不可能进行再造。也就是说,手术只能改善手脚的外观和功能,还没法让这类患儿和正常孩子一个样。
孕妇接触异常化学物品或导致胎儿“龙虾脚”
是什么导致胎儿“龙虾脚”呢?
韩镜明表示,由于病例少(发病率约10万分之一)、统计样本有限等等原因,先天性裂足畸形的发病原因还不太明确。不过,其致病原因可能与下面几个因素有关:
❶ 有研究认为,先天裂足的病因和发病机制,有可能是由顶端外胚层脊的缺陷导致。
❷ 另据介绍,此类发病有家族史者,可表现为常染色体显性遗传。
❸ 也有相关文献报道,孕妇接触异常化学物品可导致患有先天裂足畸形,同时还可能并发其它的畸形,例如21-三体综合征、唇腭裂、裂手(龙虾爪)、耳聋等。
一直以来,由于受人们思想的偏见,医疗技术水平的低下,很多先天性裂手/裂足的孩子一出生时就被抛弃,或讳疾忌医,为孩子选择穿大码的鞋来遮挡畸形。
在此,韩镜明也提醒大家:
目前的医疗技术,虽然还做不到让这类孩子和正常孩子完全一样,但如果及早通过手术矫形,今后这类孩子走路、负重,乃至正常的工作、生活完全不成问题。
但是,不是任何的先天性裂足畸形都需要手术矫正。对骨科医生来说,首要考虑的是功能,其次才是外观。
“在医生接诊中,患者父母往往从外形美观角度出发,要求对裂手/裂足进行整形手术。”韩镜明说。但有些患儿做手术后,外观虽然好看一些,但在功能上反而造成了障碍。
尤其对于年龄大的儿童,手指/脚趾运动已定型,矫正后可能会加重功能障碍。因此,医生建议这类患者实施手术的最佳时间段为6个月至3岁期间。
【记者】向雨航
【通讯员】曹海燕 朱利辉

