阿婆今年75岁,3年前因右侧腰部巨大包块查出右侧肾积脓,在外院急诊行右侧肾穿刺造瘘术,术后引出大量脓液,病情好转后出院回家疗养。

不曾想,手术后从右侧腰部穿刺造瘘的伤口持续流出黄色粘稠的脓液,阿婆竟然忍受了这样的疾病3年,整整3年,并非是无钱医治,而是走遍省内各大医院,均以病情复杂手术风险高为由建议保守观察。

近3月,
阿婆明显出现消瘦,
体重下降了30斤,
身体每况愈下,
正在走投无路之时,
听说深圳市罗湖区人民医院
泌尿外科杨江根主任医术高明,
于是抱着孤注一掷的心态
来杨江根主任门诊就诊。
杨医生初步查看阿婆情况后
发现阿婆病情的确复杂!


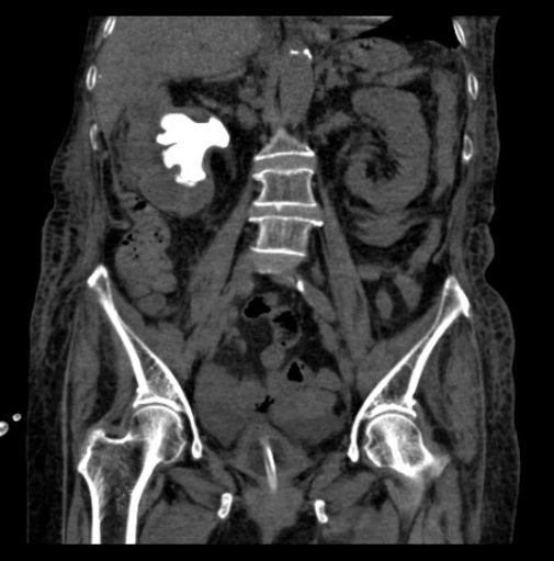
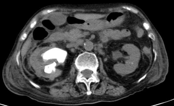
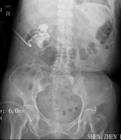
住院后完善检查后发现,患者3年前因右肾结石并积脓感染在外院行右肾穿刺造瘘后1月拔出造瘘管,之后从造瘘管持续流出脓液至今,单单是更换纱布的花费已有2万余元。
因患者存在严重的泌尿系感染,长期感染致使患者出现严重营养不良及毒素缓慢吸收的中毒表现,遂全科讨论后首先尝试行右侧输尿管支架植入术以求内引流控制感染,但效果不佳;果断再次行右侧肾穿刺造瘘引流局部感染物质控制感染!

感染初步得到控制后,
明确患者右侧肾铸形结石
并右侧无功能肾,
需行开放手术切除患肾
方能彻底治愈!

充分做好术前准备后于2019年04月02日在全麻下行开放右侧肾包膜下切除术,手术由杨江根主任主刀,手术历时2个小时。
术中发现右侧肾因长期感染,导致肾周粘连严重,同时周围组织水肿严重,质地较脆,容易出血,所以选择行包膜下切除是较为理想的选项!

术后患者迅速得到恢复,伤口愈合良好,未再出现伤口流脓的情况,每次换药阿婆最关心的就是伤口还有没有再流脓,足见3年的伤口流脓给阿婆的心理造成多么大的创伤和阴影!

这是阿婆术后伤口的照片
阿婆出院时强烈要求要和我们罗湖泌尿外科的医务人员合影留念,看到阿婆脸上久违的笑容着实给我们带来了巨大的成就感!

手术后病例提示为
黄色肉芽肿性肾盂肾炎并感染。
近两年,
罗湖医院反复诊治了
三例黄色肉芽肿性肾盂肾炎患者。
下面就黄色肉芽肿性肾盂肾炎
做一下科普~
科普
黄色肉芽肿性肾盂肾炎( xanthogranulomatous pyelonephritis,XGP) 是一种少见的由细菌感染引起的肾实质及肾周组织慢性非特异性炎性病变,约占所有肾感染的0. 6% ~ 1. 4%,由于发病率不高,缺乏特异的影像学表现,常常被误诊为恶性病变。
由Schlagenhaufe 在1916 年首次提出,致病菌多为大肠杆菌及变形杆菌,一般累及单侧肾,亦有双侧发病者,双侧XGP 预后较单侧差,可能和双侧肾功能受损有关。XGP 好发于中年女性,尤其多见于肥胖及患有糖尿病的女性。
XGP 的临床表现并无特异性,可表现为腰痛、发热,其中腰痛为最常见症状,实验室检查包括: 脓尿、贫血、尿路刺激症状及尿路梗阻症状,因其发病诱因多与泌尿系反复感染及泌尿系结石引起的梗阻有关,这两种人群患有泌尿系统感染及泌尿系结石的风险更大。
当患者出现发热、腰疼、血尿、脓尿、尿路刺激症状以及合并慢性泌尿系梗阻症状时,结合以下声像图改变,包括肾形态饱满、肾盂扩张积水,扩张集合系统内具有低回声,尤其发现病人有泌尿系梗阻原因及肾结石时,可以考虑到XGP 的可能性。CT 和超声造影可能有助于进一步明确疾病的诊断,最终确诊仍需依靠超声引导下穿刺或手术的病理报告。
黄色肉芽肿性肾盂肾炎的治疗目前选择在充分抗感染治疗后行开放性包膜下肾切除术,手术快速安全,预后一般较好!
来源:泌尿外科
编辑:罗医宣

